إشارات سوء التغذية في الشعر الجاف وتساقط الأظافر: حلول غذائية فورية، ما هي علامات سوء التغذية، ذلك، عندما يفتقر الشخص إلى العناصر الغذائية الضرورية لأداء وظائفه، ينشأ سوء التغذية. قد يعاني الأشخاص الذين يعانون من سوء التغذية من نقص الفيتامينات والمعادن والمواد المغذية الأخرى التي يحتاجها الجسم لأداء وظائفه. كما أن نقص الحديد والزنك وفيتامين A واليود شائعًا بشكل خاص بين الأفراد الذين يعانون من سوء التغذية. بالإضافة الى أنه قد تتأثر صحة الشخص سلبًا بسبب تناول كميات غير كافية، أو اتباع نظام غذائي مقيد. ذلك يمكن أن يصبح في بعض الأحيان حالة تهدد الحياة.
علامات جسدية تنذر بسوء التغذية فورًا
7 علامات جسدية تنذر بسوء التغذية فورًا تظهر على الشعر، البشرة، الأظافر، والطاقة اليومية.
- تساقط الشعر وهشاشته
الشعر الجاف والمتساقط يشير إلى نقص الحديد، الزنك، وبيوتين، خاصة عند النساء بعد الولادة أو رمضان.
- شحوب البشرة وجفافها
البشرة الشاحبة والمتشققة تدل على نقص الحديد، فيتامين C، وB12، مما يُضعف الكولاجين ويُسبب الالتهابات.
- أظافر هشة وخطوط بيضاء
الأظافر المتقصفة أو المُعرّجة تُنبئ بنقص الكالسيوم، المغنيسيوم، والبروتين، وتُزداد مع الدايت القاسي.
- تعب مستمر وضعف طاقة
الإرهاق اليومي رغم النوم يُشير إلى نقص الحديد وفيتامين D، مما يُبطئ التمثيل الغذائي ويُقلل التركيز.
- إمساك وانتفاخ مستمر
صعوبة الهضم والغازات تُعاني من نقص الألياف والماء، وتُفاقم القولون العصبي عند النساء.
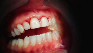
- نزيف لثة وتقرحات فم
اللثة النازفة والجروح البطيئة الالتئام تُنبئ بنقص فيتامين C والحديد، خاصة في الصيف.
- تشنجات عضلية وليلية
تقلصات الساقين تُشير إلى نقص المغنيسيوم والبوتاسيوم، شائعة لدى المُرضعات والرياضيات.

سر التمر للنساء: يحرق دهون البطن ويقوي الشعر الجاف
ما هو سوء التغذية
ما هو سوء التغذية، سوء التغذية حالة تحدث عندما يفتقد الجسم العناصر الغذائية الأساسية (فيتامينات، معادن، بروتينات) أو يحصل على كميات مفرطة منها، مما يؤثر على الصحة العامة والوظائف الحيوية.
أنواعه الرئيسية
يشمل نقص التغذية (هزال، تقزم)، فرط التغذية (سمنة)، ونقص المغذيات الدقيقة مثل الحديد وB12. يصيب النساء بشكل خاص بسبب الحمل والرضاعة والحميات.
أسبابه الشائعة عند النساء
ينتج عن نظام غذائي غير متوازن (وجبات سريعة، قلة خضروات). يسببه مشاكل هضم (قولون عصبي). يحدث برجيمات قاسية. ينشأ من ضغوط يومية تقلل الشهية، خاصة في رمضان.

العصير الأخضر سر الطاقة: اشربي كوبًا يوميًا وودّعي التعب + بطن مسطحة في أسبوع
ماهي حالات الإصابة بسوء التغذية
حالات الإصابة بسوء التغذية، يمكن أن يتخذ سوء التغذية أشكالا” مختلفة.
- نقص التغذية، عدم الحصول على الاحتياجات الكافية من العناصر والفيتامينات. ذلك قد يؤدي الى الهزال ونقص الوزن والتقزم.
- الإفراط في التغذية، نتيجة الإكثار من تناول كمية كبيرة من الطعام الغير صحي أو الصحي. قد يؤدي الى زيادة الوزن والسمنة.
حيث أن كلا الأشكال تقود الى الإصابة بمرض سوء التغذية. لذا عليك استشارة الطبيب وإنشاء جدول لنظام غذائي متوازن، اذا كنت تعاني من أي شكل من أشكاله.

الكحول يدمّر دماغكِ في 6 أشهر: 7 أضرار تُصيب 90% من المدمنين
ما هي أسباب الإصابة بسوء التغذية
أسباب الإصابة بسوء التغذية، حيث أنه ليس نتيجة لخيارات النظام الغذائي السيئة في كل حالة. كما أنه مشكلة عالمية يمكن أن تسببها عوامل اجتماعية واقتصادية وطبية.
- لا يمكنهم مغادرة منازلهم لشراء الطعام
- أيضا”، لا يستطيعون طهي وجبات الطعام
- اضطرابات في الجهاز الهضمي
- كما يواجهون صعوبة في شراء الطعام بسبب انخفاض الدخل
- عدد من مشاكل الصحة الجسدية والعقلية
- عدم القدرة على تناول الطعام
- بالإضافة الى ندرة الغذاء
- المرض النفسي
- كذلك إدمان الكحول

7 أطعمة بوتاسيوم في السوبرماركت تُوازن ضغطكِ ونشاطكِ يوميًا
من هم الأشخاص الأكثر عرضة للإصابة بسوء التغذية
الأشخاص الأكثر عرضة للإصابة بسوء التغذية، حيث يمكن أن يسبب نقص الغذاء سوء تغذية واسع النطاق ومزمنًا في بعض أماكن العالم. في حين أنه أمر خطير في أي عمر، إلا أن له تأثير سلبي بشكل خاص على فئة معينة من المجتمع.
- كبار السن، وخاصة المرضى أو الذين يتلقون رعاية مؤسسية طويلة الأمد.
- كذلك، الأشخاص ذوو الدخل المنخفض.
- بالإضافة الى الذين لديهم صعوبة في امتصاص العناصر الغذائية.
- أيضا”، الأشخاص الذين يعانون من اضطرابات الأكل المزمنة.

بذور الشيا بطلة التخسيس الطبيعي: اشربيها 5 دقائق وودّعي 5 كيلو في شهر
ما الأعراض والعلامات التي تسبب سوء تغذية
الأعراض والعلامات التي تسبب سوء تغذية، اعتمادًا على النوع، يكون له مؤشرات وأعراض مختلفة. لذلك، معرفة آثار سوء التغذية يمكن أن يساعد في تحديد وعلاج المشاكل الناجمة عن نقص التغذية أو الإفراط فيها لكل من المرضى ومتخصصي الرعاية الصحية.
- قلة الشهية أو الاهتمام بالأكل أو الشراب
- صعوبة في التعافي من الإصابات وتأخر شفاء الجروح
- عيون غائرة وخدود جوفاء
- كذلك، معدة متضخمة
- كما أنه يسبب جفاف الجلد وتلف الشعر
- أيضا”، قلة التركيز والشعور المستمر بالحزن البارد
- بالإضافة الى الشعور التعب والقلق والاكتئاب
- يزيد فقدان أنسجة الجسم وكتلة العضلات والدهون

سر النساء العربيات: الزهورات لتنظيف الأمعاء + طاقة وحيوية يومية
شحوب البشرة والأظافر الهشة: دليل نقص الحديد
شحوب البشرة والأظافر الهشة يُشيران مباشرة إلى نقص الحديد في الجسم، خاصة عند النساء بسبب الدورة الشهرية والحميات.
لماذا تظهر هذه العلامات
يفقد الجسم اللون الأحمر الطبيعي للبشرة عندما ينقص الهيموغلوبين، فيصبح الوجه شاحبًا والجفون الباطنية بيضاء. تتكسر الأظافر وتُشكل خطوطًا بسبب ضعف تدفق الأكسجين إلى البصيلات.
الحل الغذائي الفوري
كُلي تمر مغلي مع شيا أو سبانخ يوميًا مع فيتامين C (ليمون) لزيادة الامتصاص، واستشيري طبيبًا لتحليل ferritin؛ ستُلاحظين إشراقًا في أسبوع.

العصير الأخضر سر الطاقة: اشربي كوبًا يوميًا وودّعي التعب + بطن مسطحة في أسبوع
من يُعاني أكثر: الحوامل والمرضعات والرياضيات
الحوامل والمرضعات والرياضيات يُعانين أكثر من سوء التغذية بسبب الاحتياجات الزائدة للطاقة والعناصر الغذائية.
- الحوامل: مخاطر الجنين
تفتقر الحوامل إلى الحديد وفيتامين D، مما يُسبب فقر دم، ولادة مبكرة، وتقزم الجنين؛ يحتجن 30% سعرات إضافية مع تمر وشيا.
- المرضعات: إجهاد الرضاعة
تفقد المرضعات كالسيوم وB12 مع الحليب، مما يُضعف عظامهن ويُسبب تعبًا؛ يُنصح بزهورات وحليب تمر يوميًا للطاقة والتغذية.
- الرياضيات: حرق مفرط
تُفقد الرياضيات المغنيسيوم والحديد بالعرق، مما يُسبب تشنجات وإرهاق؛ يُعالج بتمر مغلي وعصير أخضر للاستشفاء السريع.

أظافر قوية وشعر كثيف في 30 يومًا: نظام غذائي غني بالكولاجين والبيوتين
ماهي طرق الوقاية من الإصابة بسوء التغذية وكيفية علاجه
طرق الوقاية من الإصابة بسوء التغذية وعلاجه، وذلك بمعالجة الأسباب الجذرية لسوء التغذية. حيث يحتاج الناس إلى استهلاك مجموعة من العناصر الغذائية من مختلف أنواع الأغذية. حيث أن المكملات الغذائية، من أكثر الأساليب كفاءة لمنع سوء التغذية. بالإضافة الى تناول نظام غذائي متنوع يتضمن ما يكفي من الكربوهيدرات والبروتينات والدهون.
- يجب الفحص والمراقبة المستمرة
- أيضا”، وضع خطة غذائية
- علاج أعراض محددة، مثل الغثيان
- بالإضافة الى علاج التهابات
- كذلك، التحقق من وجود أي مشاكل في الفم أو البلع
ومن ناحية أخرى، إن العلاج يعتمد على شدة سوء التغذية ووجود أي حالات أو مضاعفات كامنة أخرى. كما أن في الحالات الشديدة، قد يقوم الطبيب بإعطاء العناصر الغذائية عن طريق الوريد.

بطن مسطحة بدون انتفاخ: 10 أطعمة تُزيل الغازات بنسبة 60% في 5 أيام
حلول غذائية طبيعية: وصفات للطاقة في 7 أيام
جربي هذه الوصفات اليومية من التمر، الشيا، والزهورات لعلاج سوء التغذية وزيادة الطاقة فورًا دون مكملات.
يوم 1-3: عصير أخضر مع شيا (حديد + طاقة)
اخلطي سبانخ، خيار، تفاحة، ملعقة شيا منقوعة، وليمون في كوب ماء؛ اشربيه صباحًا على الريق لترطيب وحديد.
يوم 4-5: تمر مغلي مع حليب (بوتاسيوم + مغنيسيوم)
انقعي 5 تمرات في حليب دافئ ليلًا، أضيفي قرفة؛ اشربيه مساءً لشبع وطاقة مستدامة بدون جوع.
يوم 6-7: زهورات مع موز (فيتامين B + ألياف)
اغلي ملعقة زهورات مع موز مهروس؛ اشربيه بعد الظهر لتهدئة الأعصاب وتعزيز الهضم والحيوية.
ستشعرين بفرق في الطاقة والهضم خلال أسبوع – استمري مع رياضة خفيفة.

بطن مسطحة بدون انتفاخ: 10 أطعمة تُزيل الغازات بنسبة 60% في 5 أيام
جدول الفيتامينات لعلاج سوء التغذية خصوصا في رمضان
استخدمي هذه الأطعمة الطبيعية في السحور والإفطار لتعويض النقص بسرعة دون مكملات.
جدول يومي لـ7 فيتامينات أساسية
| الفيتامين | النقص الشائع | مصدر رمضاني | كمية يومية |
|---|---|---|---|
| فيتامين C (مناعة) | شحوب، نزيف لثة | ليمون، برتقال، فلفل | كوب عصير سحور |
| حديد (طاقة) | تعب، شحوب بشرة | تمر، سبانخ، لحم إفطار | 5 تمرات + سلطة |
| B12 (أعصاب) | اكتئاب، إرهاق | حليب، بيض سحور | كوب حليب مع تمر |
| D (عظام) | تشنجات، ضعف | سمك إفطار، شمس | سمكة مرة أسبوعيًا |
| مغنيسيوم (عضلات) | تقلصات ليلية | موز، زهورات سحور | موزة مع شاي زهورات |
| زنك (شعر) | تساقط شعر | بذور شيا، مكسرات | ملعقة شيا يوميًا |
| أوميغا-3 (دماغ) | ضعف تركيز | سمك، شيا إفطار | عصير أخضر مع شيا |
استمري 7 أيام لتري طاقة أعلى وبشرة أفضل – استشيري طبيبًا إن استمرت الأعراض.

مزيلات العرق التجارية: حقيقة الأضرار أم شائعات مبالغ فيها؟ دليل علمي شامل
في النهاية، سوء التغذية هو نتيجة لنظام غذائي غير سليم. كما يمكن أن ينجم عن نقص التغذية أو فرط التغذية. لذا ننصحك باستهلاك العدد المناسب من السعرات الحرارية كل يوم، والتوصية بأي مكملات غذائية من الفيتامينات والمعادن الضرورية. كما أن الحفاظ على نظام غذائي يعد أمرا” ضروريا” جيدا”؛ للبقاء بصحة جيدة طوال حياتك. بالإضافة الى أنه يمكن تحقيق أفضل النتائج من خلال الفحص الروتيني للكشف المبكر.



4 comments